Estetica dentale
Presso lo studio ubicato a Frosinone mi occupo di endodonzia, odontoiatria conservativa ed estetica dentale.
Andremo ad effettuare una serie di terapie specifiche che permetteranno di ritrovare una condizione orale migliore, cercando di ripristinare la salute e l’estetica dei tessuti duri e molli.
Trattamenti estetici con faccette in ceramica, senza preparare minimamente il dente sottostante, sono un eccellente mezzo per risolvere problemi di discromia, alterazioni di forma, diastemi, microdonzia ecc.
Endodonzia
Tra le mie competenze ci sono quelle specifiche per il settore dell’endodonzia.
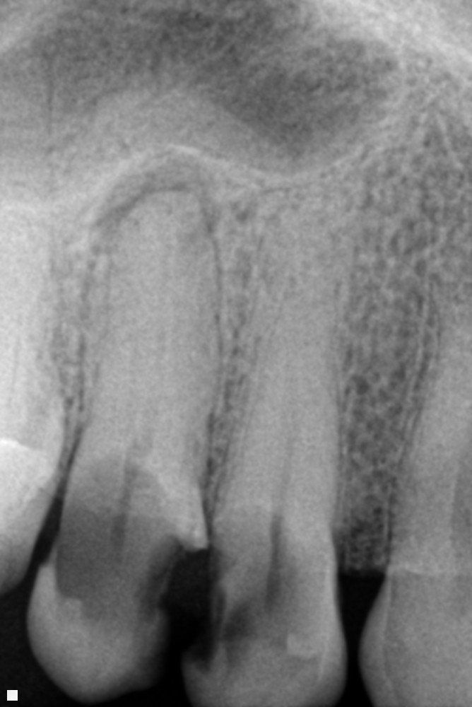
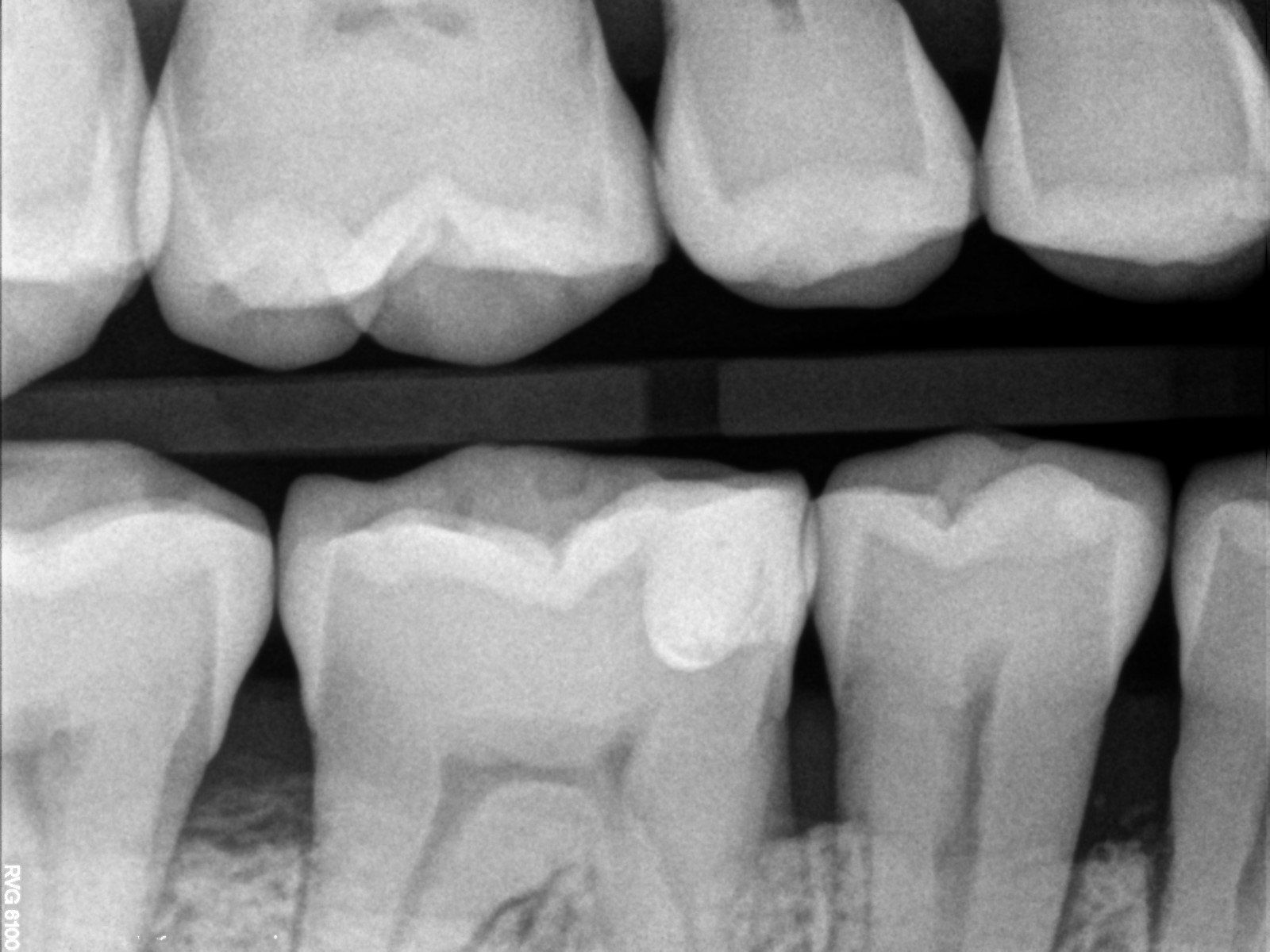
Si tratta di una branca dell'odontoiatria che ha come principale obiettivo quello di procedere alla terapia di patologie che colpiscono l'endodonto ossia quello spazio presente all'interno dell'elemento dentario.
L'endodonzia è importantissima perché consente di prevenire ed eliminare dolori poiché, nella polpa dentaria, son presenti vasi e terminazioni nervose.
Tutto questo viene affrontato con le più moderne tecniche che permettono minima invasività e risultato in tempi ristretti.
(la terza e quarta radiografia illustrano la devitalizzazione del dente senza l'eliminazione della capsula esistente ma solo con perforazione e ricostruzione nel punto preciso su capsula esistente).
Odontoiatria conservativa
Nella pratica quotidiana mettiamo a disposizione le competenze necessarie abbinate ad una strumentazione all'avanguardia per poter eseguire sedute di endodonzia e di odontoiatria conservativa.
La conservativa è una branca dell'odontoiatria restaurativa che ha come scopo quello di “conservare” l’elemento dentario. Ciò significa che si cercherà, in un dente non eccessivamente compromesso, di evitare la devitalizzazione ove possibile e di restaurare il dente secondo protocolli rigidi che ci garantiscano una longevità della ricostruzione.
Andremo ad effettuare il restauro del dente nella sola parte compromessa dalla carie salvaguardando la sostanza biologica residua, da noi giudicata sana, in modo tale da garantire una ricostruzione di qualità.
Per maggiori informazioni sui servizi dedicati all'odontoiatria conservativa, contatta lo studio al numero di telefono presente sul sito.













